Niềng răng thẩm mỹ – Giải pháp mang lại nụ cười đẹp hoàn hảo
Niềng răng thẩm mỹ là giải pháp tối ưu cho những trường hợp răng mọc lệch lạc, ảnh hưởng đến ăn nhai và thẩm mỹ chung của hàm răng, nụ cười. Nha khoa IVY áp dụng đầy đủ các kỹ thuật chỉnh nha mới cũng như đáp ứng cao về các yếu tố, sẽ là địa chỉ mang lại cho bạn kết quả hài lòng.

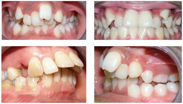
Niềng răng là gì & nên niềng răng trong trường hợp nào?
Niềng răng thẩm mỹ là một trong những dịch vụ nha khoa phổ biến hiện nay. Với phương pháp này, các khí cụ thích hợp sẽ được gắn cố định hoặc tháo lắp lên răng để đảm bảo tạo lực kéo ổn định, giúp dịch chuyển và sắp xếp răng hiệu quả về đúng vị trí. Niềng răng chỉnh nha hiện được chỉ định và mang lại hiệu quả cao trong khắc phục các trường hợp khuyết điểm răng sau:
- Cải thiện tình trạng hô móm vẩu do răng từ đơn giản đến phức tạp.
- Răng mọc lộn xộn, khấp khểnh, sai lệch khớp cắn.
- Răng thưa, khoảng cách giữa các răng lớn, cách xa nhau.
- Chỉnh hình các răng khểnh mọc lệch.

Các phương pháp niềng răng phổ biến và hiệu quả
Có khá nhiều phương pháp niềng răng thẩm mỹ được áp dụng nhằm đáp ứng nhu cầu ngày càng đa dạng của khách hàng. Tùy vào tình trạng răng, móng muốn và điều kiện tài chính của mỗi người mà bác sĩ sẽ cho tư vấn phương pháp phù hợp.
Niềng răng mắc cài
Niềng răng mắc cài là phương pháp chỉnh nha truyền thống, gắn cố định hệ thống mắc cài và dây cung lên răng, tạo lực chỉnh nha ổn định và dàn trải, dịch chuyển răng về đúng vị trí mong muốn. Niềng răng mắc cài được ứng dụng rất phổ biến và được đánh giá cao về hiệu quả, điều mà các phương pháp mới dù có cải tiến cũng không đáp ứng được.
GỌI ĐĂNG KÝ: 0901691069
Niềng răng mắc cài sử dụng nhiều loại mắc cài khác nhau, như mắc cài kim loại, mắc cài sứ, mắc cài tự buộc, mắc cài mặt lưỡi. Khách hàng có thể lựa chọn phương pháp niềng răng thẩm mỹ phù hợp với nhu cầu và tình trạng răng miệng của mình để điều trị.

Niềng răng thẩm mỹ không mắc cài
Thay vì hệ thống các mắc cài, dây cung, phương pháp niềng răng không mắc cài sử dụng các khay niềng bằng nhựa dẻo trong suốt, ôm khít vào răng, tạo lực dịch chuyển và sắp xếp lại vị trí các răng lệch lạc. Các khay niềng này còn có thể tháo lắp dễ dàng trong quá trình sử dụng nên rất thuận tiện khi ăn uống, vệ sinh răng miệng.
Nếu đang tìm kiếm một phương pháp niềng răng thẩm mỹ cao và kín đáo khi chỉnh nha thì niềng răng không mắc cài sẽ là sự lựa chọn tối ưu cho bạn. Hiện có 2 kỹ thuật niềng răng không mắc cài là niềng răng Invisalign và niềng răng Clear Aligner, trong đó niềng răng Invisalign được đánh giá cao hơn cả về hiệu quả lẫn tính thẩm mỹ.

Niềng răng khí cụ tháo lắp
Vẫn được liệt kê trong danh sách của phương pháp niềng răng thẩm mỹ nhưng niềng răng với khí cụ tháo lắp không được áp dụng phổ biến. Phương pháp này thường được chỉ định khi muốn chỉnh nha duy trì sau thời gian đeo niềng hoặc niềng răng cho trẻ em trong giai đoạn từ 8 – 12 tuổi.
Ưu điểm nổi bật của niềng răng là gì?
Đa dạng các phương pháp niềng răng thẩm mỹ
Hiện có đa dạng các phương pháp niềng răng được áp dụng nhằm đáp ứng nhu cầu chỉnh nha chuyên biệt của từng khách hàng. Hơn nữa, với sự cải tiến về chất liệu khí cụ, với niềng răng kỹ thuật mới, khách hàng có thể hoàn toàn tự tin trong suốt quá trình chỉnh nha mà không lo bị phát hiển.
Hiệu quả chỉnh răng cao, không lo sai lệch
Niềng răng thẩm mỹ còn được đánh giá cao về tính hiệu quả, giúp nắn chỉnh, sắp xếp răng về đúng vị trí trong thời gian quy định hoặc nhanh hơn. Hơn nữa, toàn bộ quá trình này cũng được tính toán chính xác và theo dõi kỹ để đảm bảo không có trường hợp bị sai lệch.
An toàn khi sử dụng, kết quả duy trì dài lâu
Các khí cụ nha khoa sử dụng trong niềng răng thẩm mỹ đều được chứng nhận về độ an toàn nên không gây kích ứng, không làm tổn thương răng, nướu hay các mô mềm xung quanh. Kết quả niềng răng thẩm mỹ cũng được duy trì lâu dài.
Nha khoa IVY - Địa chỉ niềng răng thẩm mỹ uy tín, chất lượng cao
Là một quá trình lâu dài nên khi có ý định niềng răng thẩm mỹ, chú trọng lựa chọn đúng địa chỉ nha khoa là khuyến cáo chung của nhiều chuyên gia. Hiện Nha khoa IVY là một trong số ít các địa chỉ uy tín mà khách hàng có thể yên tâm và tin tưởng lựa chọn.
Nha khoa IVY quy tụ đội ngũ bác sĩ chỉnh nha được đào tạo chuyên sâu, cấp phép hành nghề và nhiều năm kinh nghiệm trong chỉnh răng. Với kinh nghiệm và tay nghề của mình, các bác sĩ sẽ đảm bảo chỉnh nha hiệu quả và đúng liệu trình, không lo sai lệch.
Hệ thống máy móc hiện đại, tối tân bậc nhất được trang bị đầy đủ tại Nha khoa IVY nhằm tăng cường hiệu quả chỉnh nha.
GỌI ĐĂNG KÝ: 0901691069

